2024년03월30일 32번
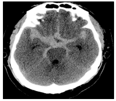
[응급처치학개론] 40대 여자가 갑자기 벼락 치듯 심한 두통과 의식저하로 응급실에 내원하였다. 뇌 CT 영상이 다음과 같을 때 진단으로 옳은 것은?

- ① 뇌내출혈
- ② 경질막하출혈
- ③ 지주막하출혈
- ④ 경질막바깥출혈
(정답률: 35%)
문제 해설